お知らせブログ
PMTCについて🦷
PMTCとは、専用の機械を使用して歯の表面に付着しているプラークや歯石、バイオフィルム、着色汚れを除去することです。
歯科医院で行われる専門的なクリーニングの名称です。
普段しっかり歯磨きをされている方でも、歯の表面のざらつき、着色汚れが気になったことはありませんか?
ご自身で取り切れない汚れは、私たちが専門の機械を使用してお口の中の環境をよりクリーンに仕上げていきます!
今回はPMTCの流れを簡単に説明していきます。
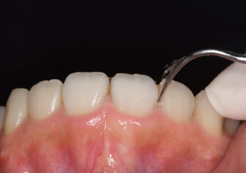
⓵プラーク除去
超音波スケーラーを使用してプラークや歯石を除去していきます。

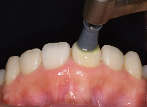
②歯面の清掃・研磨
ブラシやラバーカップを使用して歯の表面に付着しているバイオフィルムを除去し、ツルツルな歯に仕上げていきます。


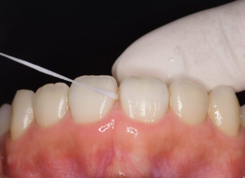
③歯と歯の間のクリーニング
フロスや歯間ブラシを使用して歯と歯の間の汚れを除去していきます。

以上が普段のクリーニングの内容です。
定期的なクリーニングを行い、清潔な環境を保ちましょう!
