拡大視野下による精密歯周外科治療

歯肉が下がって見た目が気になる…

歯周組織の回復や、歯肉の美しさにもこだわります!

Before

After

矯正治療や過度な歯磨き圧などにより、歯肉が下がり、歯が長く見えてしまうことがあります。
このように歯根が露出してしまうと審美性が低下する、虫歯になりやすくなる、歯磨きがしにくくなるといった問題が出てきます。
当院では「歯周形成外科」という方法で、この問題点の改善に取り組んでいます。

岩野歯科クリニックの歯周病外科治療のポイント

Point01

視野を拡大することで
より精密な治療をご提供いたします

歯の1本1本は10mmにも満たない小さなものであり、その患部となるとさらに小さいです。人間が目視できる識別域には限界があるため、目視のみでの歯科治療では満足な治療が行えません。
岩野歯科クリニックでは、マイクロスコープや拡大鏡を使用することによって拡大視野を確保し、目視では確認できなかった細部の状態を把握し、より精密で正確な歯科治療を行っています。

患部が極小のうちに発見できれば早期治療につながるため、治療効果を高めることができ、患者様の負担を最小限に抑えた治療を行うことができます。

  • 拡大鏡

    当院では高倍率ルーペを治療に使用しています。ルーペは眼鏡と同じように装着できるので、治療に支障をきたすことなく、暗い口腔内もしっかり拡大できます。

  • マイクロスコープ

    肉眼の数十倍まで拡大できる歯科用顕微鏡、それがマイクロスコープです。見えないものが、見えるようになったことで、今までの歯科治療では難しかった様ざまな症例に対応できるようになりました。たとえば、初期の虫歯を検知できたり、根管治療が的確に行えるようになったりと各治療の精度が増しています。

Point02

当院院長が考案した手法により
より美しい歯肉を形成することが可能に

岩野歯科クリニックの院長は、結合組織移植術と歯肉弁移動術の欠点を補うために、新しい手法を考案いたしました。この手法は歯肉弁を双方向に移動させることが特徴で、より美しい歯肉を形成することができるようになりました。
常に新しい研究を追求し、患者様の健康と美しさを追求しています。

進行してしまった歯周病に対する
外科治療

歯周外科治療について

歯周外科治療とは、中等度、または重度に進行してしまった歯周病に対し、基本治療で改善しない場合に行う治療です。
外科治療では、歯周病の根本原因になっている歯の根などに付着している歯垢・歯石・毒素を除去します。
手術で歯と歯ぐきのすき間の深さを減少させることや、溶けて失われた骨を再生させる方法もあります。

拡大視野下で行う歯周外科治療

歯周病の原因を根本から除去する組織付着療法

組織付着療法では、局所麻酔を使用して歯周ポケットの奥深くにある歯周病菌や歯石、汚れなどを徹底的に除去します。組織付着療法では、メスを使って歯ぐきを切開したり、骨を削ったりすることはなく、骨や歯ぐきの形を変える処置も行いません。目に見えない歯ぐきの奥に溜まった汚染物を除去することで、歯ぐきと歯根をくっつかせ、歯周ポケットを浅くすることを目的とした治療法です。

フラップ手術(歯肉剥離掻爬手術)

歯周ポケット掻把術では、歯周ポケットに専用の器具を入れて汚染物を掻きだしますが、歯周ポケット内部を目視できないためどうしても手探りの処置となってしまいます。そのため、施術者の技量によって仕上がりが左右され、場合によっては汚染物を取り切れない可能性があります。
そこで行うのがフラップ手術です。麻酔を使用したのち、歯ぐきを切開して歯ぐき内部を目視できるようにします。目視下で処置するため、確実に汚染物を取り除けるのです。

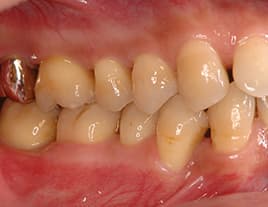
Before

After

主訴 歯がぐらぐらして気になる
治療期間・回数 2年・20回
治療詳細 歯肉弁を剥離、翻転後デブライドメントを行い、骨整形後縫合した。
費用(税込み) 左上フラップ手術の費用:495,000円
デメリット・注意点 ブラッシングがきちんとできていないと治療が奏功しない可能性がある

歯周ポケットを浅くし、管理しやすい環境を作る切除療法

切除療法とは、病気になっている部分の歯周組織を切除しポケットを浅くする治療です。歯周ポケットが浅くなることで、プラークコントロールがしやすくなり、治療効果が出やすくなります。

歯肉弁根尖側移動術

歯周病や歯肉増殖症などの影響で増殖した歯肉を切除する外科手術です。歯周ポケットを浅くする効果がありますが、歯ぐきの位置が下がり、場合によっては歯根が露出したりする可能性があるため、あまり行われていない治療です。歯肉切除術は、症状や歯ぐきの状態を確認し、必要に応じて行われます。

メリット

  • 歯周病により形成された深い歯周ポケットを浅くすることで、歯周病の進行を防ぎ、歯の健康を保つ
  • 歯肉の形態を改善し、歯肉の健康を維持する
  • 歯肉を根尖方向に移動することで、根面を露出させて、ルートプレーニングや他の歯周治療が行いやすくなる

デメリット

  • 歯肉が根尖側に移動することで、歯根が露出し、見た目が悪くなる可能性がある
  • 歯根が露出すると、冷たいものや熱いものに対して歯が敏感になることがある
  • 保険適用外のため自費診療となる

Before

After

主訴 前歯の見た目が気になる
治療期間・回数 2年・20回
治療詳細 11-22の根管治療ならびに支台築造後、ダブルシックネスフラップを用いた歯肉弁根尖側移動術を行って歯冠長を延長し、プロビジョナルレストレーションにて歯肉の形態を修正した後、セラミッククラウンを装着した。
費用(税込み) 根管治療:132,000円、オペ費用495,000円、補綴費用:594,000円
デメリット・注意点 術後の創面を安静にするため、飲食やブラッシングなど日常生活において注意が必要

失われた歯周組織を再生する歯周組織再生療法

歯周組織とは、歯を支えている組織(歯槽骨、歯肉、歯根膜、セメント質)のことです。歯周病が進行すると、歯周組織が破壊され、歯ブラシの時に出血してきたり、歯がグラグラしてきたりします。 歯周病治療のほとんどが、その進行を止める治療法であるのに対し、歯周組織再生療法とは、失われた歯周組織を回復できる、いわば時計の針を逆回しにする治療法です。代表的な治療法として「骨移植術」「GTR法」「エムドゲイン療法」があります。
この治療法がうまくいけば、他院で「この歯は抜かなければなりません」と言われてしまった症例(重度歯周病)でも抜かずに保存できるケースも出てきます。ただし、適応症は正しく選択せねばなりません。

Pseudo Papilla Preservation Technique(PPPT)

歯周外科手術の一つで、特に審美領域における歯間乳頭(歯と歯の間にある歯肉)の形態と位置を維持しながら、歯周ポケットの治療を行う方法です。PPPTは、特に審美的に重要な前歯部などで行われることが多く、患者様の見た目の満足度を高めるために重要な技術です。

メリット

  • 歯間乳頭の形態を保つことで、手術後の見た目を改善し自然な外観を維持できる
  • 歯間乳頭は食物の詰まりを防ぐ役割があり、その形態を保持することで口腔機能を保つことができる
  • 歯間乳頭の形態を維持することで、周囲組織の回復を促進し、手術後の治癒を早める

デメリット

  • 細かい操作が必要なため、手術に時間がかかる
  • 特定の症例にのみ適用可能であり、すべての患者に適用できるわけではない
  • 保険適用外のため自費診療となる

Before

After

主訴 歯周病の治療をしたい
治療期間・回数 2年・20回
治療詳細 院長が考案した独自の切開方法を用いて歯肉を切開後、歯肉弁を剥離、翻転、デブライドメントし、24%EDTAにてエッチング。エムドゲインを塗布し、骨移植を行った後に、歯肉弁を元の位置に整復して、垂直水平マットレス縫合変法にて縫合した。
費用(税込み) 198,000円
デメリット・注意点 外科手術を伴うため、患者様の負担が大きい
治療後のメインテナンスを怠ると元に戻る可能性がある

エムドゲイン療法

エムドゲイン療法とは、歯の発生過程に重要な役割を示す、エナメルマトリックスタンパク質という特殊なタンパク質を含む薬剤を患部に塗ることで、歯が作られる過程を再現することにより、歯周組織を再生させる治療法です。日本では1998年より臨床応用されています。これまで世界各国において100万件以上の臨床応用がなされておりますが、副作用の報告はなく、安心して用いることのできる材料です。

メリット

  • 歯石やプラークが溜まりにくい状態になる
  • 歯周病の進行を抑えられる
  • 再発リスクも抑えることができる

デメリット

  • 治療後のメインテナンスを怠ると元に戻る可能性がある
  • 保険適用外のため自費診療となる

治療の流れ

  1. Step01

    麻酔した上で、治療する部分の歯肉を切開します。

  2. Step02

    歯石などの感染部を清掃し、取り除きます。

  3. Step03

    骨を失った部分にエムドゲインゲルを塗布します。

  4. Step04

    切開した歯肉部分を縫合します。

Before

After

主訴 歯がぐらぐらして気になる
治療期間・回数 1年・20回
治療詳細 歯肉弁を剥離、翻転、デブライドメント後、24%EDTAにて2分間エッチングし、生理食塩水にて水洗後、エムドゲインを塗布、歯肉弁を元の位置に整復して縫合した。
費用(税込み) 1歯 198,000円
デメリット・注意点 外科手術を伴うため、患者様の負担が大きい
治療後のメインテナンスを怠ると元に戻る可能性がある

歯周組織再生療法は外科処置を伴います。
初期段階の歯周病であれば、外科処置をせずに治療を進めることができますので、自覚症状が無くとも(歯周病は悪化するまで自覚症状はほとんどありません)、定期的に歯科医院で診てもらう事を強くお勧めいたします。

骨移植術

歯周病が重症化すると歯を支える骨が溶かされてしまいますが、その失ってしまった骨を再生するために自分の骨や人工骨を移植する治療法です。一般的には、患部に近い場所にある歯槽骨を採取して移植します。

メリット

  • 骨が再生することで歯ぐきの状態改善にも繋がる
  • 日々の口腔ケアがしやすい環境になる
  • 歯ぐきの位置の改善で見た目のバランスも良くなる

デメリット

  • 骨の再生量には個人差がある
  • 保険適用外のため自費診療となる

Before

After

主訴 歯がぐらぐらして気になる
治療期間・回数 2年・10回
治療詳細 歯肉弁を剥離、翻転、デブライドメント後、24%EDTAにてエッチング、エムドゲインを塗布し、骨補填材としてBi0oOssを移植、歯肉弁を元の位置に整復して縫合した。
費用(税込み) エムドゲインを用いた歯周組織再生療法:198,000円、骨移植術:110,000円
デメリット・注意点 術後の創面を安静にするため、飲食やブラッシングなど日常生活において注意が必要

GTR法

GTR法とは、歯周組織を再生するための歯周組織再生療法のひとつです。メンブレンという特殊な膜を患部に挿入することで、歯ぐきの侵入を防ぎつつ、歯周組織が再生するスペースを確保します。

メリット

  • 広範囲の治療に適している
  • 歯肉が再生することで歯槽骨が埋まってしまうのを防げる
  • 徐々に再生した歯槽骨は元の状態に近いところまで回復する

デメリット

  • 骨の再生量には個人差がある
  • 骨が再生するのには時間がかかる
  • 保険適用外のため自費診療となる

Before

After

主訴 歯周病の治療をして欲しい
治療期間・回数 1年・10回
治療詳細 歯肉弁を剥離、翻転し、デブライドメント後、バリアメンブレンをトリミングして欠損部を被覆し懸垂縫合。減張切開後歯肉弁を歯冠側へ移動して縫合した。
費用(税込み) 198,000円
デメリット・注意点 バリアメンブレンの露出が生じる恐れがあるため、創面の保護が重要
 

歯肉まで美しく歯周形成外科

矯正治療や過度な歯磨き圧などにより、歯肉が下がり、歯が長く見えてしまうことがあります。
このように歯根が露出してしまうと審美性が低下する、虫歯になりやすくなる、歯磨きがしにくくなるといった問題が出てきます。
当院では「歯周形成外科」という方法で、この問題点の改善に取り組んでいます。歯周形成外科には大まかに分けて以下のような手法があります。

Bidirctionally Positioned Flap Surgery

これは、結合組織移植術と歯肉弁移動術の欠点を補うべく院長の考案した手法です。
この新手法は2010年ハワイで行われましたAAP-JSPハワイ大会JSPポスターセッションにおいて最初に紹介し、臨床優秀ポスター賞を受賞しました。また、海外の専門誌「Quintessence International」に投稿・アクセプトされ、今後掲載予定となっております。

Bidirctionally Positioned Flap Surgery :A case Report with3-year Follow-up
ご興味おありの方はご一読ください。

メリット

  • 露出した歯根面を完全に覆うことができる
  • 手術による追加の創傷を避けることができる
  • 治療後に角化歯肉の幅が増加する
  • 自然な色調と形態を実現でき、術後の状態が長期間にわたり良好に維持される

デメリット

  • 術式が非常に精密で熟練した技術を要求される
  • 角化歯肉が薄い患者には適用が難しい
  • 保険適用外のため自費診療となる

治療の詳細

この術式は、従来の結合組織移植術と歯肉弁歯冠側移動術の欠点を補うために考案されたもので、歯肉弁を双方向に移動させることが特徴です。
以下の34歳女性の症例では、唇側歯根面の歯肉退縮を改善し、角化歯肉幅を増加させることに成功しました。この方法は、完全な根面被覆、色調と形態の調和、長期的な予後を実現する可能性があり、血液供給と再生能に優れています。ただし、角化歯肉が薄い症例には適用が難しい場合があります。

Before

After

主訴 前歯の見た目が気になる
治療期間・回数 1年・5回
治療詳細 右上の犬歯に約2mmの歯肉退縮がみられます。歯肉弁を3枚におろし、それぞれを歯間側および根尖側へ移動、縫合します。この手法により、2次的な創傷を生じずとも、露出歯根面の被覆と角化歯肉幅の増大を同時に行えます。術後、根面は被覆され、角化歯肉幅も2mmから4mmに増大しています。
費用(税込み) 198,000円
デメリット・注意点 外科手術を伴うため、患者様の負担が大きい
治療後のメインテナンスを怠ると元に戻る可能性がある

結合組織移植術

歯周病などが原因で歯ぐきが下がると、歯が長く見えてしまったり、知覚過敏を引き起こしたりします。結合組織移植術は、患部以外の部分にある歯肉の一部を採取したのち、患部に移植することで健全な歯ぐきの状態を目指す治療法です。

メリット

  • 歯石やプラークが溜まりにくい状態になる
  • 歯ぐきの厚み、形状の維持に繋がる
  • 歯周組織の再生が促進され、歯周病の進行を抑えられる

デメリット

  • 治療には高度な技術が必要とされる
  • 保険適用外のため自費診療となる

治療の流れ

  1. Step01

    歯肉の採取

    上顎の奥歯の内側から移植する歯肉を採取します。

  2. Step02

    歯肉の移植

    移植する箇所の歯ぐきを切開し、その中に採集した歯肉を入れます。

  3. Step03

    歯ぐきの縫合

    歯肉を採取するために切開した歯ぐきは2週間程度で元通りになり、移植された歯ぐきはおよそ1ヵ月程度で傷がつかなくなり、周囲の歯ぐきと区別がつかない自然な状態になります。

Before

After

主訴 前歯の見た目が気になる
治療期間・回数 1年・20回
治療詳細 12-22補綴装置を除去、プロビジョナルレストレーションを装着。感染根管治療後結合組織移植術を用いた根面被覆術を施術。組織の治癒後ジルコニアセラミッククラウンを装着した。
費用(税込み) 根管治療:175,000円、オペ費用396,000円、補綴費用:792,000円
デメリット・注意点 外科手術を伴うため、患者様の負担が大きい
治療後のメインテナンスを怠ると元に戻る可能性がある

歯周外科治療の料金

歯周組織再生療法の料金

  • 歯周組織再生療法 ¥198,000

    ※症状と術式によって料金が異なります

歯周形成外科の料金

  • Bidirctionally Positioned Flap Surgery(根面被覆) ¥143,000
  • 結合組織移植術 ¥110,000
  • ※料金はすべて税込みです。