症例紹介
インプラントを含む包括的治療

Before

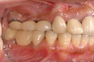
After
| 主訴 | 噛み合わせの不調和と審美性の改善 |
|---|
治療詳細
噛み合わせの不調和と審美性の改善を主訴として来院された患者様です。
歯茎が下がって黒い歯根や被せ物の辺縁が目立ちます。
白い被せ物は天然歯と比較するといかにも人工物であり、審美的ではありません。
右上にはインプラント治療がなされていますが、クリアランス(隙間)が足りず扁平です。
左下のブリッジは脱離しています。



歯周病治療、虫歯治療、歯の根の治療、残根歯のExtrusionおよび歯肉弁根尖側移動術、プロビジョナルレストレーション(仮歯)を用いた噛み合わせの調整を行った後、左下および右下にインプラント治療を行いました。
特に左下にはインプラントを埋入するに十分な骨がなく、埋入時骨再生誘導法(GBR法)を併用しました。
オトガイ孔(神経、血管の出口)が近かったため、特殊な切開方法(Lateral incision technique: Buser法=非常に高度なテクニックです)を用いて骨の再生を図りました。
CEJより約4mm根尖側にPartial thickness incisionを加えます。同切開を歯槽頂へ向け、Partial thickness flapを形成します。

続いてFull thickness flapを剥離翻転します。

歯科用CTにて診断した位置へステントを用いて正確に埋入したところ、想定した通りインプラント体の一部が露出しました。そこで自家骨移植と、チタン強化膜を用いた骨再生誘導(GBR)法を施術しました。


角化粘膜と骨膜をマットレス縫合し、粘膜同士を吸収性糸にて単純縫合します。非常に繊細な作業であり、拡大鏡は必須です。

遮断膜の除去時には通法通り遊離角化粘膜移植術を施術し、角化粘膜幅の増大を図りました。

プロビジョナルレストレーションにて咬合の安定を図った後、口腔機能回復治療へと移行しました。
特に歯周病の患者様の場合は、包括的治療が必要となります(「歯周病」項目参照)。自ずと治療期間は長くなるため、我々のみならず患者様への負担も大きくなります。
3年間に渡る治療の末、審美的にも機能的にも満足のできる結果を得ることができました。
共に努力してくださった患者様にも感謝です。
メインテナンシビリティーの高い(メインテナンスのしやすい)口腔内環境の獲得は、治療における大きな目標の一つです。
それが達成できれば、定期的なメインテナンスにより長期的に安定した口腔内環境を維持することが可能でしょう!



