症例紹介
インプラント
重度歯周炎患者に対するインプラント治療:ボーンアンカードブリッジ

Before

After
| 主訴 | 全顎的な歯の動揺を主訴に来院された患者様です。 |
|---|---|
| 診断名 | 広汎型侵襲性歯周炎 |
診査の結果、広汎型侵襲性歯周炎と診断し、包括的治療を行いました。



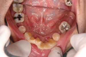
上顎は13-23ブリッジおよびRPD、下顎はインプラント支台のボーンアンカードブリッジとする計画を立案、治療を行いました。
全顎的な歯周治療の後、インプラント治療へと移行しました。

インプラント埋入に際し、サージカルガイドを保持する目的で、抜歯予定の46を残存させ、他部位埋入後抜歯後即時埋入を行いました。



即時荷重を加え、約6ヵ月後、上部構造物としてボーンアンカードブリッジを装着いたしました。



上部構造装着後7年が経過しておりますが、辺縁骨吸収もなく、良好な状態が維持されております。

重度歯周炎患者であっても、適切な歯周病治療(ここが大切です!)を行った後にインプラントを応用することにより、機能的にも審美的にも大変良好な状態を手に入れることが可能です。
治療期間も長く患者様も大変だったとは思いますが、何でも咬めるようになったと大変喜んで下さっているのが、何より嬉しいことですね。
